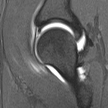
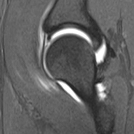
Die MRT ist inzwischen unverzichtbarer Bestandteil der Diagnostik am Bewegungsapparat. Muskeln, Sehnen, Bänder, Knochen und Knorpel, sowie deren Krankheitszustände lassen sich in unvergleichlicher Weise differenzieren. Einige Krankheitsbilder wie z.B. das "traumatische Knochenödem" oder die knöcherne Stressreaktion sind überhaupt erst durch die MRT bekannt geworden.
Bewegungsapparat
Anmeldung
Zum Anmeldeformular
Radiologisches Zentrum am Kaufhof eGbR
U. Meiners, Dr. K. Bödeker,
Dr. C. Bredow, J. Freise, J. Wien
Radiologen - Radiologin
Marlistr. 112 * 23566 Lübeck
Tel 0451-61096-0
Fax 0451-61096-55
info(at)radiologen-luebeck.de
www.radiologen-luebeck.de
Sprechstunden
Mo, Di, Do 8-17 Uhr
Mi 8-13 Uhr, Fr 8-15 Uhr
Außerhalb der Sprechstunden:
Patientenservice Tel. 116 117


