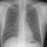
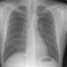
Seit der Entdeckung der Röntgenstrahlen und ihres Wertes für die Medizin hat sich an der Technik vieles geändert. Unter anderem wird in unserer Praxis nicht mehr auf fotographischen Film belichtet. Stattdessen kommen strahlensensiblere Fluoreszenzspeicherfolien zur Anwendung, von denen die Bilder mit einem Laserstrahl digital ausgelesen werden.
An der wichtigen Rolle der Röntgendiagnostik, vor allem im Bereich von Lunge und Skelettsystem hat sich indessen nichts geändert. Zahlreiche Spezialuntersuchungen haben sich im Laufe der Jahrzehnte herausgebildet. Das technisch am höchsten entwickelte Röntgenverfahren stellt die Computertomographie (CT) dar.
Digitales Röntgen
Anmeldung
Zum Anmeldeformular
Radiologisches Zentrum am Kaufhof eGbR
U. Meiners, Dr. K. Bödeker,
Dr. C. Bredow, J. Freise, J. Wien
Radiologen - Radiologin
Marlistr. 112 * 23566 Lübeck
Tel 0451-61096-0
Fax 0451-61096-55
info(at)radiologen-luebeck.de
www.radiologen-luebeck.de
Sprechstunden
Mo, Di, Do 8-17 Uhr
Mi 8-13 Uhr, Fr 8-15 Uhr
Außerhalb der Sprechstunden:
Patientenservice Tel. 116 117

