Banner 1

MRT des Nervensystems

Anmeldung

Zum Anmeldeformular

Radiologisches Zentrum am Kaufhof eGbR
U. Meiners, Dr. K. Bödeker,
Dr. C. Bredow, J. Freise, J. Wien
Radiologen - Radiologin
Marlistr. 112 * 23566 Lübeck
Tel 0451-61096-0
Fax 0451-61096-55
info(at)radiologen-luebeck.de
www.radiologen-luebeck.de

Sprechstunden

Mo, Di, Do 8-17 Uhr
Mi 8-13 Uhr, Fr 8-15 Uhr
Außerhalb der Sprechstunden:
Patientenservice Tel. 116 117

MRT Kopf-Hals

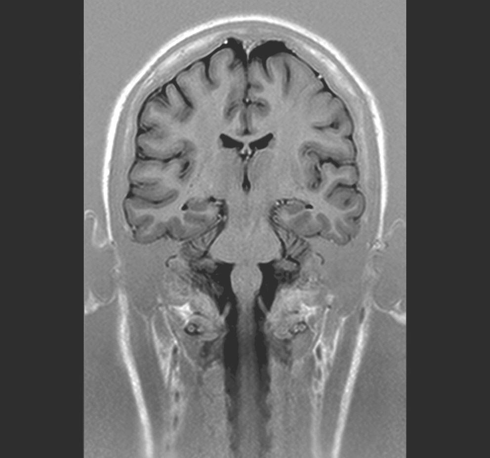
Die MRT ist unbestritten dasjenige Verfahren, mit dem man heute am besten Bilder des Nervensystems und seiner Erkrankungen anfertigen kann. Für einige Fragestellungen ist zwar die Computertomographie ausreichend, die MRT wird aber zunehmend eingesetzt.

MRT Kopf coronar

Das gilt nicht nur für das Gehirn, sondern auch für den Rückenmarkskanal und das darin verlaufende Rückenmark sowie die Nervenwurzeln.

Diffusion-Perfusion

Besondere Untersuchungssequenzen existieren für die Darstellung von Entzündungen, Blutungen oder Tumoren, zur Epilepsiediagnostik oder zur Abklärung von Durchblutungsstörungen. Frühzeitig können Schlaganfälle beurteilt werden und ursächliche Verengungen der Blutgefäße gleich mit dargestellt werden (MR-Angiographie).

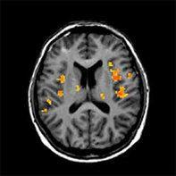
Funktionale MRT

Die MRT erlaubt die Darstellung von Stoffwechselveränderungen (MR-Spektroskopie) und spezieller Hirnfunktionen (funktionelle MRT). Neben dem Einsatz in der Hirnforschung lassen sich mithilfe dieser Methoden auch Hirnoperationen besser planen.

MRT Kleinhirnbrückenwinkel

An den Sinnesorganen können Störungen des Riech-, Seh- und Hörnervs sowie zunehmend auch des Gleichgewichtsorgans beurteilt werden.