Banner 1

MRT der inneren Organe

Anmeldung

Zum Anmeldeformular

Radiologisches Zentrum am Kaufhof eGbR
U. Meiners, Dr. K. Bödeker,
Dr. C. Bredow, J. Freise, J. Wien
Radiologen - Radiologin
Marlistr. 112 * 23566 Lübeck
Tel 0451-61096-0
Fax 0451-61096-55
info(at)radiologen-luebeck.de
www.radiologen-luebeck.de

Sprechstunden

Mo, Di, Do 8-17 Uhr
Mi 8-13 Uhr, Fr 8-15 Uhr
Außerhalb der Sprechstunden:
Patientenservice Tel. 116 117

MRT Bild Nieren

Die Darstellung der inneren Organe des Brust- und Bauchraumes stellt besondere Anforderungen an den Kernspintomographen. Denn es müssen nicht nur große Körperabschnitte untersucht werden, sondern wegen der Atem-, Herz- und Darmbewegungen und Pulsationen müssen die Messungen auch sehr rasch erfolgen.

MRT des Herzens - Die Herausforderung

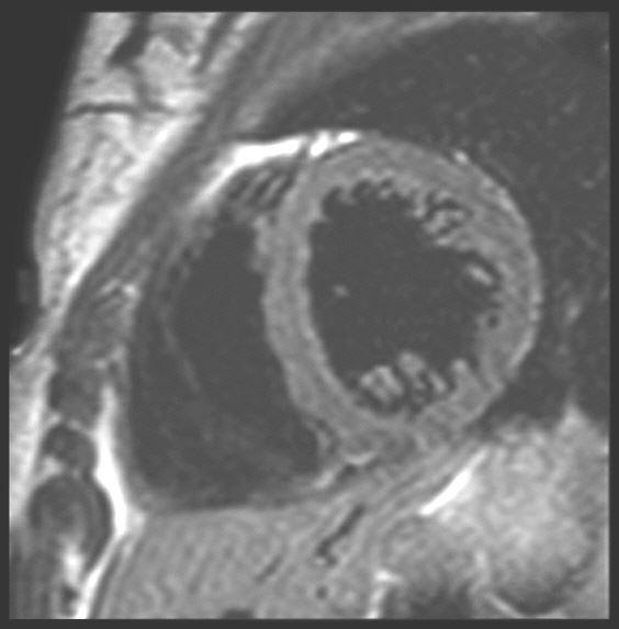
MRT des Herzens

Die MRT des Herzens (Cardio-MRT) ist dabei eine besondere Herausforderung. Schon heute kann dieses Verfahren sehr gut Entzündungen und Durchblutungsstörungen sowie andere Schäden des Herzmuskels mit hoher Auflösung sichtbar machen. Bewegte Bilder der Herzaktionen lassen Schäden des Herzmuskels erkennen. Siehe auch Herz- und Blutgefäße.

MRT Herz

Während die Herzkranzgefäße noch nicht ausreichend zuverlässig beurteilt werden können, kann die MRT z.B. vor Bypassoperationen zwischen Infarktnarben des Herzmuskels und Zonen der Minderdurchblutung differenzieren.

"Bei Leber lieber MRT !"

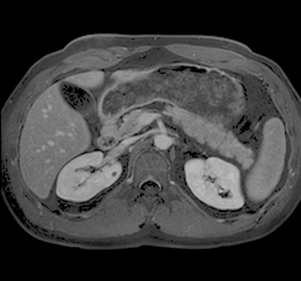
MRT Oberbauch

So lautete kürzlich das Urteil einer Expertenrunde. In zeitgemäßer Technik durchgeführt stellt die MRT derzeit das beste Verfahren dar, gutartige oder bösartige Leberherde darzustellen und zu unterscheiden. Dazu stehen heute verschiedene Kontrastmittel bereit, die eine besonders treffsichere Diagnostik ermöglichen.

Gallenwege schonend darstellen

MRCP - MRT Gallenwege und Bauchspeicheldrüsengang

Bei der noch vielfach gängigen ERCP muß im Rahmen einer Dünndarmspiegelung der Gallengang sondiert und ein Kontrastmittel rückwärts in das Gallenwegssystem gespritzt werden. Diese Spiegelung und Kontrastmittelgabe ist in der MRT nicht nötig, um hochauflösende Bilder der Gallenwege, der Gallenblase und des Bauchspeicheldrüsengangs zu erhalten.

Nieren und Harnwege

Die MRT erlaubt sowohl die Darstellung des Nierengewebes als auch der Harnwege. Besonders bei unklaren Herdbefunde an der Niere kann die MRT oft eine Klärung bringen. Als Nachteil ist die fehlende Darstellung kleiner Nierensteine zu nennen, wenn diese noch nicht in Nierenbecken oder Harnleiter übergetreten sind. Hier ist meist ein einfaches Röntgenbild oder eine Ultraschalluntersuchung vorzuziehen.