Banner 1

Digitales Röntgen

Anmeldung

Zum Anmeldeformular

Radiologisches Zentrum am Kaufhof eGbR
U. Meiners, Dr. K. Bödeker,
Dr. C. Bredow, J. Freise, J. Wien
Radiologen - Radiologin
Marlistr. 112 * 23566 Lübeck
Tel 0451-61096-0
Fax 0451-61096-55
info(at)radiologen-luebeck.de
www.radiologen-luebeck.de

Sprechstunden

Mo, Di, Do 8-17 Uhr
Mi 8-13 Uhr, Fr 8-15 Uhr
Außerhalb der Sprechstunden:
Patientenservice Tel. 116 117

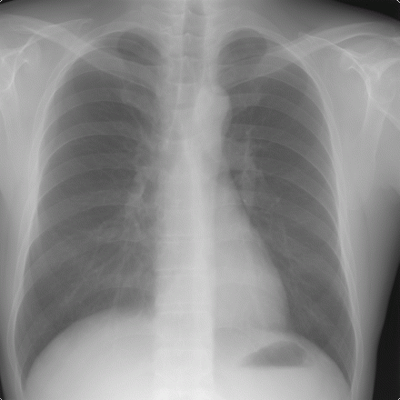
Röntgen Thorax

Die allseits bekannten Röntgenaufnahmen werden in unserer Praxis nicht mehr auf fotographischen Film, sondern digital auf sog. Festkörperdetektoren (CCD) aufgenommen, ähnlich einer Digital-Fotokamera.

Bildschirmbefundung und Archivierung

PACS

Nun können die Bilder auf dem Bildschirm betrachtet, die Belichtung nachgeregelt werden, die Bilder elektronisch gespeichert oder versandt werden. Auf einem Laserfilmbelichter können die Bilder auch auf Folien ausgegeben werden, in der Regel werden sie aber digital, z.B. auf CD weitergegeben.

Die digitale Speicherung der Bilder gewährleistet, dass auch nach Jahren noch Kopien oder Bildvergleiche in Originalqualität möglich sind.

Vorteile der Digitalen Radiographie

  • Höhere Empfindlichkeit der Detektoren im Vergleich zum fotographischen Röntgenfilm = weniger Strahlenbelastung

  • Größerer Belichtungsumfang = weniger Fehlbelichtungen = weniger Wiederholungsaufnahmen

  • Mehr Auswertungsmöglichkeiten am Bildschirm durch digitale Lupe, Graustufenanpassung, Bildschärfung usw.

  • Sichere und verlustfreie Archivierung

  • Mehrfache Weitergabemöglichkeit und Datenübertragung

  • Umweltfreundlichere Verarbeitung - keine Entwicklerchemie, silberbelastete Abwässer usw.