KI-Mammographie

Künstliche Intelligenz - Mammographie

Anmeldung

Zum Anmeldeformular

Radiologisches Zentrum am Kaufhof eGbR
U. Meiners, Dr. K. Bödeker,
Dr. C. Bredow, J. Freise, J. Wien
Radiologen - Radiologin
Marlistr. 112 * 23566 Lübeck
Tel 0451-61096-0
Fax 0451-61096-55
info(at)radiologen-luebeck.de
www.radiologen-luebeck.de

Sprechstunden

Mo, Di, Do 8-17 Uhr
Mi 8-13 Uhr, Fr 8-15 Uhr
Außerhalb der Sprechstunden:
Patientenservice Tel. 116 117

Digitale Mammographie

Digitale Mammographie Fujifilm Amulet S

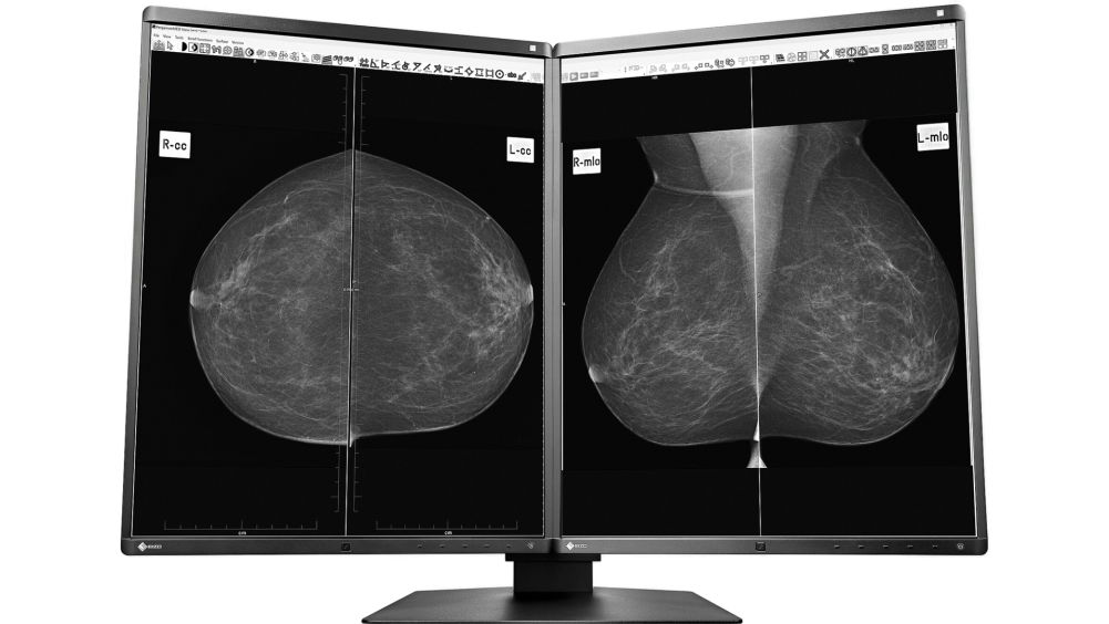
Die Röntgendarstellung der weiblichen Brust (Mammographie) wird in unserer Praxis auf einem Festkörperdetektor (CCD) registriert und in digitaler Form an unser Bilddatennetz weitergegeben. Die digitale Speicherung der Bilder gewährleistet, dass auch nach Jahren noch Kopien oder Bildvergleiche in Originalqualität möglich sind. Die Auswertung erfolgt an einem hochauflösenden Multimonitor-System.

Einsatz von künstlicher Intelligenz

Monitor EIZO Radiforce GX560

Hier kommt im Radiologischen Zentrum nun neuerdings künstliche Intelligenz zum Einsatz. Nach dem Motto "Vier Augen sehen mehr als zwei" werden die Aufnahmen auch von einer künstlichen Intelligenz beurteilt und dabei erkannte auffällige Befunde werden kenntlich gemacht. Letztlich entscheidet aber die Radiologin oder der Radiologe, die/der weitere Informationen aus der Vorgeschichte, den Tastbefund und die Ultraschalluntersuchung einbeziehen kann.

Wissenschaftliche Studien haben aber gezeigt, dass mit diesem Prinzip der KI-Zweitbefundung weniger krankhafte Befunde übersehen werden.

KI Software

Die von uns verwendete KI Software stammt von der Schweizer Firma b-rayZ AG. Sie wurde an tausenden von Mammographien mit gesicherten Befunden "angelernt" (Machine Learning). Die Software wird im Rahmen des Qualitätsprogramms QuaMaDi eingesetzt, kommt aber bei uns auch Patientinnen zugute, die nicht an QuaMaDi teilnehmen (können).

QuaMaDi

Eine besondere qualitätsgesicherte Brustdiagnostik QuaMaDi ist für alle Versicherten der gesetzlichen Krankenkassen bei uns zugänglich. Erfahren Sie hier mehr dazu ...

Mammographie-Screening

Eine weiteres Diagnostik-Programm stellt das bundesweite gesetzliche Mammographie-Screening, eine Art Reihenuntersuchung zur Brustkrebs-Früherkennung bei Frauen zwischen dem 50. und 75. Lebensjahr dar. Diese Untersuchungen können nicht bei uns angefertigt werden. Näheres zum Screening-Programm finden Sie beim Mammographie-Screening Schleswig-Holstein.